審美歯科
- HOME
- 審美歯科
審美歯科
現在の審美修復治療とは、色調と形態を調和させるだけでなく、スマイル時の審美性、そして黒いラインや影が生じないとともに歯ぐきの健康が保たれなければなりません。
白い歯の種類と料金
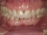
オールセラミックの症例
オールセラミック・クラウン・ブリッジ(ジルコニア)
従来のセラミックスの3倍以上の強度があり、メタルフリーの素材です。天然の透明感のある最高級のセラミックです。
料金:88,000円~93,500円(税込み)
ポーセレンベニア(ラミネートベニア)の症例
ボーセレンベニア(ラミネートべニア)
エナメル質の表面を薄く均一に削ってセラミックを貼り付けるもので、歯の損失を最小限に抑えられます。
料金:82,500円(税込み)
メタルボンドポーセレン
金属の上に、直接セラミックを焼き付けて作り上げる、強度と美しさに優れたセラミックス材料です。最も一般的なセラミックです。
料金:88,000円(税込み)
ハイブリッドポーセレン
セラミックに微量のプラスチックを加えた素材で、メタルボンドポーセレンよりも低価格で白い歯にすることが可能です。
料金 ハイブリットインレー:16,500円(税込み)~22,000円(税込み)程度
料金 セラミックインレー:38,500円(税込み)~44,000円(税込み)程度
ハイブリットクラウン
虫歯になっていた銀歯を外して、かぶせ物(クラウン)での治療を行うことが可能です。
料金:44,000円(税込み)
ホワイトニングの説明と料金
オフィスホワイトニング
歯科医師が医院で行うホワイトニングです。専用のホワイトニング剤を直接塗布し治療を行います。
料金 上顎22,000円(税込み) 下顎11,000円(税込み)
ホームホワイトニング
歯科医師の診断後、歯の型をとり、マウスピースを作成します。その後は自宅で専用ホワイトニング剤を入れたマウスピースを決められた時間装着して治療します。
料金 上下顎各22,000円(税込み)
デュアルホワイトニング
オフィスホワイトニングとホームホワイトニングを併用して行う方法です。ホワイトニングの期間短縮と歯の白さの持続が得られます。最も高いホワイトニングの効果を引き出すことが可能です。
メラニン色素の除去
歯肉の黒ずんだ色素部分にお薬を塗布するだけで数日後には簡単に除去できます。痛みもほとんどなく、きれいな歯茎が再生されます。
オールセラミックとメラニン色素除去の症例
CONTACTご予約・お問い合わせ
宮城県仙台市泉区のきくち歯科クリニックでは歯にダメージの少ない優しい治療を心がけております。
健康で美しい歯は、快適な生活を送るために必要なものです。
当院では、一般的な歯科治療以外にもインプラント治療や審美治療、歯周病治療、床矯正などの治療も行っております。

[所在地]
〒981-8002 宮城県仙台市泉区南光台南3-4-3 2F
[診療時間]
平日午前 9:30~13:00(最終受付12:00)
平日午後 14:30~19:00(最終受付18:00)
土曜午前 9:00~13:00(最終受付12:00)
土曜午後 14:00~17:00(最終受付16:00)
※土曜日の午後はインプラント等の外科処置のみとなります。
[休診日]木曜日・日曜日・祝日
※祝日のある週の木曜日は除きます。
[駐車場]
有り(6台)